各位家長,您是否曾聽聞「腸套疊」?想像一下,腸子像疊羅漢般互相套入,導致腹痛、嘔吐,甚至危及生命!
究竟「為什麼會發生腸套疊?」原因複雜,常見於幼兒,可能與病毒感染、腸道結構異常有關。早期症狀不明顯,但若孩子出現陣發性哭鬧、嘔吐、血便,務必警惕!
腸套疊雖可怕,但早期診斷、治療,治癒率極高。請密切觀察孩子的狀況,若有疑慮,立即就醫檢查。您的警覺,是孩子健康的重要保障!
文章目錄
腸套疊的病理機制:深入剖析發病根源
腸套疊,這個聽起來陌生的詞彙,實際上是腸道內的一場「內戰」。想像一下,原本井然有序的腸道,突然有一段像伸縮望遠鏡般地套入另一段,這就是腸套疊的基本樣貌。而這場「內戰」的爆發,往往源於腸道蠕動的失控。正常情況下,腸道的蠕動是協調一致的,推動食物順利通過。但當某些因素干擾了這種協調,就會導致腸道某一段蠕動過快,而另一段蠕動減慢,進而引發套疊。
那麼,究竟是什麼因素會擾亂腸道的和諧呢?原因錯綜複雜,就像一場精心策劃的陰謀。以下列出幾個常見的「嫌疑犯」:
- 腸道感染:病毒或細菌感染可能導致腸道發炎,進而影響蠕動。
- 腸道腫塊:息肉或腫瘤等病灶,可能成為腸套疊的「引導者」。
- 腸道結構異常:例如梅克爾憩室等先天性異常,也可能增加風險。
- 淋巴組織增生:在某些情況下,腸道內的淋巴組織增生,也可能成為套疊的「誘因」。
當腸道發生套疊時,會帶來一系列嚴重的後果。首先,套疊的腸段會壓迫血管,導致血液循環受阻,進而引發腸道缺血、壞死。其次,腸道內容物無法順利通過,造成腸道阻塞,導致腹痛、嘔吐等症狀。更嚴重的情況下,腸道可能穿孔,引發腹膜炎,危及生命。
因此,了解腸套疊的病理機制至關重要。這不僅能幫助我們更好地理解疾病的發生過程,也能讓我們更警惕地關注自身的健康狀況。及早發現、及早治療,才能將腸套疊的危害降到最低。記住,腸道健康,才是整體健康的重要基石。
腸套疊的早期徵兆:警惕潛藏的健康危機
腸套疊,這個聽起來陌生的詞彙,卻潛藏著不容忽視的健康風險。它就像腸道內的「俄羅斯娃娃」,一段腸子套入另一段,阻礙了食物的正常通行,甚至可能導致嚴重的併發症。早期發現,及時治療,是避免病情惡化的關鍵。因此,我們需要對身體發出的微弱信號保持高度警惕,才能及早發現這潛藏的危機。
那麼,哪些徵兆是我們需要特別留意的呢?以下是一些可能預示著腸套疊的早期警訊:
- 間歇性腹痛: 這是最常見的症狀,疼痛可能突然出現,然後又暫時緩解,反覆發作。
- 嘔吐: 嘔吐的內容物可能先是食物,接著是膽汁,甚至出現血性物質,這都是腸道阻塞的警訊。
- 腹脹: 腸道阻塞會導致氣體和液體積聚,引起腹部脹氣。
- 血便或果醬樣便: 這是腸道黏膜受損的表現,需要立即就醫。
這些看似普通的症狀,背後可能隱藏著嚴重的健康問題。千萬不要輕忽任何身體發出的警訊,特別是當這些症狀同時出現時。及時就醫,進行詳細的檢查,才能盡早確診,並採取有效的治療措施。記住,早期發現,早期治療,是戰勝腸套疊的關鍵。
不要等到病情惡化才後悔莫及。如果您或您的家人出現上述任何一種或多種症狀,請立即就醫。專業的醫療團隊將會為您提供最完善的診斷和治療方案,幫助您擺脫健康危機,重拾健康的生活。關愛自己,也關愛身邊的家人,共同守護健康。
腸套疊的診斷與治療:專業醫療的全面解析
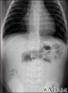
腸套疊,這個聽起來陌生的詞彙,卻是兒童急診室裡常見的急症之一。它就像一場腸道的「內捲」,一段腸子套入另一段腸子,造成腸道阻塞,甚至可能導致腸壁壞死。診斷的關鍵,在於醫師的敏銳觀察與經驗,以及精準的影像學檢查。透過超音波,醫師可以清晰地看到腸道套疊的影像,就像一個「靶心」或「甜甜圈」的模樣。而X光檢查則能幫助排除其他可能的原因,例如腸阻塞或穿孔。
一旦確診,治療的目標就是盡快解除腸套疊。對於大多數的病例,空氣灌腸是首選的治療方式。醫師會透過肛門,將空氣注入直腸,利用空氣的壓力,將套疊的腸子推回原位。這是一個相對安全且有效的治療方法,成功率很高。然而,並非所有情況都適用空氣灌腸,例如:
- 腸道穿孔的疑慮
- 腹膜炎的徵兆
- 腸套疊時間過長,腸壁已出現壞死
在這些情況下,手術是必要的選擇,以確保病人的安全。
手術治療的目的是將套疊的腸子復位,並檢查腸道的健康狀況。如果腸壁已經壞死,則需要切除壞死的腸段,並重新吻合腸道。手術的風險取決於腸套疊的嚴重程度、病人的年齡和整體健康狀況。術後,病人需要密切觀察,以確保腸道功能恢復正常,並預防併發症的發生。無論是空氣灌腸還是手術,及時的診斷和治療都是至關重要的,可以大大提高治療的成功率,並降低併發症的風險。
除了上述的治療方法,密切的術後照護也至關重要。這包括監測病人的生命徵象、觀察腹部狀況、以及給予適當的營養支持。醫師和護理師會密切關注病人的恢復情況,並及時處理任何可能出現的併發症。家長也需要配合醫囑,提供病人舒適的環境,並注意觀察病人的飲食和排便情況。透過專業的醫療團隊和家長的共同努力,大多數的腸套疊病人都能夠康復,重拾健康的生活。
腸套疊的預防策略:守護腸道健康的實用指南
腸套疊,這聽起來像是腸道內的一場「內戰」,但我們絕對有能力成為腸道健康的守護者。預防腸套疊,關鍵在於從日常飲食與生活習慣著手,建立起一道堅固的防線。首先,均衡飲食是基石。多攝取富含纖維的食物,例如蔬菜、水果和全穀類,有助於促進腸道蠕動,減少便秘的發生,降低腸套疊的風險。避免過度食用油膩、刺激性食物,這些食物容易造成腸道負擔,增加腸道不適的機率。
除了飲食,良好的生活習慣也至關重要。規律的作息、適度的運動,以及保持心情愉悅,都能有效維護腸道健康。運動能促進腸道蠕動,幫助消化;規律的作息則能調節身體機能,維持腸道菌群的平衡。此外,壓力過大也可能影響腸道功能,因此學會釋放壓力,保持心情愉快,對腸道健康大有裨益。
對於嬰幼兒,腸套疊的預防更需謹慎。母乳餵養被認為是降低嬰兒腸套疊風險的有效方法之一。母乳中含有豐富的抗體,有助於增強嬰兒的免疫力,保護腸道免受感染。此外,家長應密切觀察嬰幼兒的排便情況,若發現異常,例如持續哭鬧、嘔吐、腹脹等,應立即就醫,及早診斷與治療。
總結來說,預防腸套疊是一場持久戰,需要我們在日常生活中,從飲食、生活習慣,到嬰幼兒的照護,多方面著手。以下是一些實用的建議:
- 定期體檢: 了解自身腸道健康狀況,及早發現潛在風險。
- 注意衛生: 保持良好的衛生習慣,減少感染的機會。
- 避免過度勞累: 充足的休息有助於身體恢復,維護腸道健康。
- 尋求專業協助: 若有任何疑慮,請諮詢醫生或專業人士。
常見問答
好的,以下是針對「為什麼會發生腸套疊?」這個主題,以傳統中文撰寫的四個常見問題解答,風格專業且具說服力:
**腸套疊:常見問答**
各位家長、關心健康的您好,腸套疊是一種需要及時處理的疾病。以下針對常見問題,提供您專業且清晰的解答,希望能幫助您更了解腸套疊,並及時應對。
1.**為什麼我的孩子會發生腸套疊?**
腸套疊的成因複雜,但主要與以下因素有關:
* **病毒感染:** 腸道病毒感染,例如腺病毒或輪狀病毒,可能導致腸道發炎,進而誘發腸道蠕動異常,增加腸套疊的風險。
* **腸道結構異常:** 腸道內息肉、腫瘤等結構異常,可能成為腸套疊的「引導點」,導致腸道互相套疊。
* **淋巴組織增生:** 腸道內淋巴組織增生,例如在病毒感染後,可能導致腸道蠕動異常,增加腸套疊的機會。
* **不明原因:** 許多腸套疊的病例,並無明顯原因可循。
2. **腸套疊的症狀有哪些?我該怎麼辦?**
腸套疊的典型症狀包括:
* **陣發性腹痛:** 孩子會突然出現劇烈腹痛,並伴隨哭鬧、蜷縮身體的表現。
* **嘔吐:** 嘔吐可能先是食物,接著是膽汁,甚至出現血性嘔吐。
* **血便:** 由於腸道受壓迫,可能出現果醬樣血便。
* **腹部腫塊:** 醫生檢查時,可能觸摸到腹部有香腸狀的腫塊。
**若您懷疑孩子有腸套疊的症狀,請立即就醫!** 腸套疊若未及時處理,可能導致腸道壞死,危及生命。
3. **腸套疊的治療方式有哪些?**
腸套疊的治療方式取決於病情嚴重程度:
* **空氣或水灌腸復位:** 這是最常見的治療方式,透過空氣或水灌腸,將套疊的腸道推回原位。
* **手術治療:** 若灌腸復位失敗,或出現腸道壞死等併發症,則需要手術治療。
**請務必遵從醫生的指示,及時接受治療。**
4. **如何預防腸套疊?**
由於腸套疊的成因複雜,完全預防並不容易。但您可以採取以下措施,降低風險:
* **接種疫苗:** 接種輪狀病毒疫苗,可有效降低輪狀病毒感染的風險,進而減少腸套疊的發生。
* **注意衛生:** 保持良好的衛生習慣,勤洗手,避免病毒感染。
* **及時就醫:** 若孩子出現腹痛、嘔吐等症狀,請及時就醫,早期診斷、早期治療。
**關心孩子的健康,及早發現、及早治療,是守護孩子健康的重要關鍵。**
最後總結來說
總之,腸套疊成因複雜,早期診斷與治療至關重要。若您或親友出現相關症狀,請務必及早就醫,切勿輕忽。及時的醫療介入,能有效降低併發症風險,守護健康,重拾美好生活! 本文由AI輔助創作,我們不定期會人工審核內容,以確保其真實性。這些文章的目的在於提供給讀者專業、實用且有價值的資訊,如果你發現文章內容有誤,歡迎來信告知,我們會立即修正。

我是李羽心,來自基隆礦工家庭,因家族事故與自身健康問題,開始接觸健康食品,並見證其改變。我母親因睡眠不足出現健康問題,後來透過天然營養品顯著改善。如今,我創立部落格,分享營養與健康的知識,盼能幫助更多人受益。
如果你發現文章內容有誤,歡迎來信告知,我們會立即修正。[email protected]


